Меню Рубрики

Рубрика «Дуоденит»

Капельница для вывода из запоя: эффективный способ борьбы с алкогольной зависимостью

SQLITE NOT INSTALLED Алкогольная зависимость является одной из самых распространенных проблем современного общества. Многие люди сталкиваются с трудностями, пытаясь избавиться от этой пагубной привычки. Но как найти эффективное решение? В настоящее время одним из успешных методов лечения алкогольной зависимости является применение капельницы для вывода из запоя. На сайте https://narcological-clinic.ru/services/kapelnica-ot-zapoya/ можно получить больше информации про капельницы для …

От панкреатита можно умереть

Что такое проксимальный дуоденит: стадии, симптомы и правильное лечение

SQLITE NOT INSTALLED Проксимальный дуоденит иначе называется бульбит. Представляет собой воспаление двенадцатиперстной кишки на стыке с желудком, так называемой, луковицы. Симптомы проксимального дуоденита напоминают многие болезни ЖКТ, для подтверждения диагноза требуется инструментальное обследование. В большинстве случаев болезни тонкого кишечника связаны с патологиями желудка, поджелудочной, печени, желчного пузыря. Что это такое Дуоденит условно разделяют на проксимальный, …

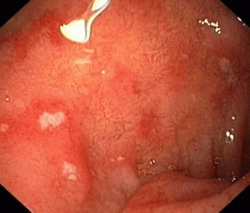
Атрофический дуоденит – причины, провоцирующие факторы, симптомы, лечение

Что такое атрофический дуоденит: симптомы, лечение и прогноз

SQLITE NOT INSTALLED Атрофический дуоденит – хронический воспалительный процесс в тонком кишечнике или двенадцатиперстной кишки. Является осложнением катарального, эрозивного дуоденита. При постоянном воспалении в патологический процесс вовлекаются глубокие ткани пищеварительного органа, происходит атрофия слизистой. В результате кишечник перестает полноценно выполнять свои функции, появляются болезненные ощущения, постоянный дискомфорт. Что это такое Дуоденит представляет собой воспаление в …

Вторичный дуоденит – причины, симптомы, провоцирующие факторы, правильное лечение

Что такое вторичный дуоденит: симптомы и правильное лечение

SQLITE NOT INSTALLED Вторичный дуоденит – воспаление двенадцатиперстной кишки под влиянием неблагоприятных факторов. Патологический процесс развивается со временем на фоне неправильного питания, нарушенного режима, хронических заболеваний органов ЖКТ. Очень часто гастродуоденит становится следствием болезней желудка, печени, поджелудочной, желчного пузыря, а также непосредственно тонкого, толстого кишечника. Что это такое Вторичный дуоденит развивается постепенно под воздействием неблагоприятных …

Что такое умеренный дуоденит — фото, симптомы и лечение

SQLITE NOT INSTALLED Умеренный дуоденит – не настолько редкое заболевание, как представляют себе большинство людей, далеких от медицины. Он встречается довольно часто, но не все, кто страдает им, могут определить у себя это заболевание и вовремя обратиться за врачебной помощью. Как правило, больной обращается к доктору только тогда, когда дуоденит достиг активной стадии развития и …

Ноющая боль в области пупка

Симптомы и как лечить обострение дуоденита

SQLITE NOT INSTALLED Тупые ноющие боли в эпигастральной области, тошнота, рвота и полное бессилие – характерные признаки, сопровождающие обострение дуоденита. О причинах его возникновения, методах лечения, обострении дуоденита во время беременности и принципах диетического питания мы расскажем в этой статье. Симптомы Обострение дуоденита сопровождается следующими симптомами: Ухудшением аппетита вплоть до его полного исчезновения; Выраженной головной …

Лечение острого дуоденита

Основные признаки, симптомы и лечение острого дуоденита — отзывы пациентов

SQLITE NOT INSTALLED Острый дуоденит является воспалительным заболеванием двенадцатиперстной кишки с ярко выраженной симптоматикой. Заболевание требует своевременной диагностики и лечения, так как имеет довольно тяжёлые осложнения. Что такое острый дуоденит Под острым дуоденитом понимают воспаление слизистой оболочки двенадцатиперстной кишки, которое поражает верхние слои органа. Заболевание часто развивается на фоне неправильного питания и нарушения работы пищеварительной …

Хронический дуоденит

Симптомы хронического дуоденита и методика лечения заболевания

SQLITE NOT INSTALLED Хронический дуоденит является воспалительным заболеванием двенадцатиперстной кишки, при котором разрушаются и истончаются стенки органа. Патология требует своевременной диагностики и длительного соблюдения лечебной диеты во избежание сильных обострений. Что такое хронический дуоденит Хронический дуоденит представляет ряд длительно протекающих заболеваний с воспалением двенадцатиперстной кишки. При прогрессировании патологии отмечается нарушение целостности эпителия, что приводит к …

Рефлюкс дуоденит

Симптомы рефлюкс дуоденита – как правильно питаться, лечение препаратами и народными средствами

SQLITE NOT INSTALLED Рефлюкс дуоденит (иначе называемый дуодено-гастральным рефлюксом) – это нарушение нормальной работы желудочно-кишечного тракта, характеризующееся забросом в желудок содержимого 12-перстной кишки. Подобное патологическое состояние требует своевременной диагностики и адекватного лечения, поскольку длительное воздействие на слизистую оболочку нижнего отдела желудка панкреатических ферментов и желчных кислот приводит к ее воспалению. Что это такое Рефлюкс дуоденит …

Диета при дуодените

Что можно и что нельзя при дуодените – лучшие блюда, диета и меню на неделю с рецептами

SQLITE NOT INSTALLED Диета при дуодените входит в комплекс обязательных лечебных процедур. Ее цель –  ограничить потребление продуктов, вызывающих раздражение слизистой оболочки желудка и 12-перстной кишки, обеспечив в то же время больного всеми необходимыми питательными веществами. Правильное питание при дуодените Успех лечения любых заболеваний желудочно-кишечного тракта (в том числе, дуоденита) зависит от правильного питания. Тщательно …